News
Air pollution trigger 29,000 yearly deaths.
Air pollution may have triggered the premature yearly deaths of at least 29,000 people in Britain alone.
Hollywood-style special effects give girl new ear
Elise, a young girl benefited from a little known field called anaplastology to get herself a new ear.
WikiLeaks: British businessmen overeducated
Many successful entrepreneurs dropped out of education early including Microsoft co-founder Bill Gates.
India, Myanmar to tackle terrorists together
India and Myanmar come together to curb trans-border terrorism and other illegal activties.
WikiLeaks Cablegate: US against India's support to Burma
India-related document from the leaked US embassy cables released by WikiLeaks.
WikiLeaks Cablegate: Terrorists come from more than just Muslim backgrounds
India-related document from the leaked US embassy cables released by WikiLeaks.
WikiLeaks Cablegate: Tibet talks - positive signs, or exercises in futility?
India-related document from the leaked US embassy cables released by WikiLeaks.
PM's offer a masterstroke, says Digvijaya
Digvijaya Singh congratulated Manmohan Singh for offering to appear before PAC.
Senators see chance for passing 9/11 health bill
Republicans had a few weeks ago blocked the 9/11 health bill.
Fighter pilots' brains are smarter
Fighter pilots' brains are more capable than those with no piloting experience.
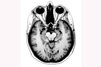
Spiders, snakes? Brain-damaged woman has no fear
She's an ordinary mother of three with a specific psychological impairment.
Garlic can reduce risk of arthritis
Women who ate a lot of allium vegetables had lower levels of hip osteoarthritis.
Stamps sell like hot cakes at Cong plenary venue
Over 700 stamps sold like hot cakes at temporary post office.
Qaeda recruiting white jihadis to repeat 26/11?
The group is reportedly looking for white jihadis to launch a Mumbai-type terror attack in Europe.
Chinese media reduces Sino-Indian border
Chinese media has knocked off around 1,600 kilometres off the India-China border in a report.
Congress has siege mentality: BJP
BJP President Nitin Gadkari comments came after Sonia Gandhi slammed BJP.
 
 
     
     
     
     
     
     
     
     
                    
                     
                     
                     
                     
                     
                     
                     
                     
                     
                     
                     
                     
                     
                     
                     
                             
                             
                             
                             
                             
                            